☕️ LITTLE PACKAGES ☙ Wednesday, December 27, 2023 ☙ C&C NEWS 🦠
An effective way to persuade Covidians; a SADS 33-year-old Fox reporter; and a teeny-tiny but terrifically-important study to lift your post-holiday spirits even higher.
Good morning C&C, it’s Wednesday! We’re running out the clock on 2023, which neatly ends this year on a Sunday. Today we have a quick update (or I’ll never get it out): a primer on and real-life example of the “agree and extend” persuasion technique; SADS Fox reporter; and a teeny-tiny but terrifically-important study to lift your post-holiday spirits even higher.
🗞💬 WORLD NEWS AND COMMENTARY 💬🗞
💉 I’m a litigator. Well-meaning non-lawyers often casually tell me that I argue for a living. I usually argue about that. As a lawyer, I don’t have arguments, I make arguments, and I make arguments doing my real job: persuasion. My job is to persuade people — people like judges and juries. Let’s look at a very helpful persuasion technique that I often use to win arguments.
This morning I stumbled over a perfect example for yesterday’s Substack about meeting Covidians halfway. I found yet another goofy Covidian (a healthcare professional) oddly fretting that we anti-vaxxers will somehow blame Covidians for all the excess deaths and injuries not for the vaccines but because of their masking and isolating and trying not to catch covid (granted, the logic is pretty fuzzy):
And then in the replies, I noticed a persuasive comment that could help Covidians connect that final dot to the jabs:
Thanks to Matt for illustrating an effective style of argumentation, and hence persuasion. It worked well because Matt first showed sympathy for the Covidian theory that the virus never goes away and is deadly by conceding that “both are a problem.” Matt’s concession created rapport, which allowed him to gently introduce the possibility that the jabs could also be involved, harmonizing the two positions so they aren’t mutually exclusive.
I said Matt introduced the jabs as a possible cause “gently” because he avoided confrontational language like “it’s obvious, dummy,” or “wake up, the shots kill,” but instead made the minimal truthful argument they are the riskiest approved shots. And then — again, not in a confrontational way — he informatively offered a supporting fact in neutral language (Europe banned shots for healthy young people).
I call this method of argumentation “agree and extend.” It is a good tactic even outside the pandemic context. It’s especially useful for moving people toward your position by degrees. It works when nothing significant is lost by conceding the other person’s initial, erroneous position. That initial concession can then be used as a springboard to the desired point. Because the other person is psychologically primed to agree with whatever you say next — since they just gained an ally and want to keep you on their side — they are more likely to seriously consider your very next argument and are incentivized to make concessions of their own.
Surprisingly, an initial concession may still be available even when the other person’s beliefs seem impossibly wrong, by using tools like limited scope agreement. For example, what if the other person claims the jabs are saving lives? You could still concede a subset of their argument: many lives have been saved, and then add and many people have also been injured or killed by the shots. The trick is avoiding the temptation to directly challenge the error (the jabs haven’t saved anybody!). Also, this technique is obviously unsatisfying if you would have to lie even to make a limited concession.
There are other problems with the defective jabs like they make nonsense proteins, are contaminated with E. coli, and including SV40 promoter genes — but we don’t need those to increase the anti-vaccine coalition. Covidians already believe the virus is causing excess death and disability. If they could be persuaded that the spike protein part of the virus is the culprit, then it’s just one tiny step to the vaccines, which after all is where most of the spike protein comes from.
In other words, if the spike protein is harmful in a reservoir, then it’s also harmful when it comes from a shot, right?
I mean, it’s not like it’s coming from airplane contrails. (It’s not, right? Please tell me they haven’t started spraying us with spike.)
💉 Fox News audio anchor and reporter Matt Napolitano, 33, died mysteriously and suddenly the day before Christmas. According to his husband Rick, Matt died suddenly from “an infection.”
Matt was well-liked around New York, and even drew a condolence tweet yesterday from Mayor Eric Adams. The New York Daily News reported Matt died “following a brief illness” — the new euphemism for “he died suddenly” — and led its article by noting that Matt allegedly had an “autoimmune disease” for twenty years (since thirteen?).
Matt’s husband Rick denied any jab involvement and requested people not spread misinformation:
Some commenters still weren’t sure though, since Matt seemed to be doing okay for the last twenty years until just recently. What changed? What kind of infection was it? When was the last time he was in the hospital, if ever?
Who knows. Although — as a celebrity — Matt lived in public, and although he doesn’t need privacy anymore, and though Matt published his private medical information on social media plenty of times (see below), they now ask for privacy.
Among other private medical information he shared on social media, Matt was an early and active vaccine advocate:
Only thirty-three. Condolences to his family and loved ones.
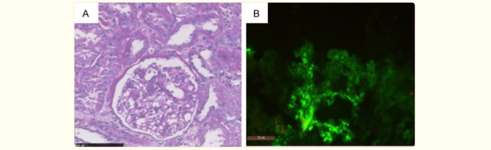
🔬 A wildly significant little study — it’s actually just a case report — quietly popped up in the American Journal of Translational Research last month, titled “Successful treatment of new-onset diabetes mellitus and IgA nephropathy after COVID-19 vaccination: a case report.” It offers substantial hope to vaccine injured folks, far beyond its plain meaning.
In this case report, the researchers described a 56-year-old man who spontaneously developed atypical, adult-onset Type 2 diabetes three months after his third jab. Significantly, he had no “genetic predisposition” to diabetes, and he never had covid:
The patient was never infected with COVID-19. He had no known COVID-19 exposures and did not experience flu-like illness throughout the COVID-19 pandemic. He had no family history of kidney disease.
The introduction’s first three sentences showed amazing progress. Apparently researchers can now get published without having to idolize the jabs at all. Well, they still have to say the shots were important, but look how matter of fact the language has become:
COVID-19 vaccine has been administered in almost all countries as a critical measure used to control the pandemic. However, COVID-19 vaccination-related glomerular (kidney) diseases have become a new concern. Both the mRNA vaccine and the inactivated vaccine can cause new-onset and relapsing glomerular (kidney) disease. These diseases typically occur after the first or second dose of vaccination.
Haha. So much for “safe and effective.” The researchers stated as an obvious fact that the mRNA vaccine can cause new-onset (and relapsed) kidney disease. They didn’t even squawk it was “rare.” (They even said typically occur awfully close to the word disease.) They ignored the drooling idiots infecting the useless CDC and captured FDA, neither of which apparently has the slightest idea at all that mRNA vaccines can cause kidney diseases. Lalalalala we can’t hear you.
Science.
It was me who called the patient’s diabetes “atypical,” which to me is a flag for vaccine involvement. But his doctors used more clinical language. Still, it because his disease was atypical that they discovered a successful treatment.
The researchers said they ultimately treated his diabetes as a vaccine injury rather than a blood sugar disorder, rejecting insulin — which was not helping much — and successfully controlled his diabetes using steroids for the inflammation and a leukemia drug to treat his vaccine-induced autoimmunity. Both drugs are normally contraindicated for diabetes; in fact, the steroids usually make kidney disease worse. In the researcher’s own words (lightly edited for clarity):
This case is unique because the kidneys and pancreas were simultaneously affected by the vaccine. Although correlation does not imply causation, the onset of symptoms of injury of two organs soon after vaccination should be considered as the inciting event. And in this case, it was strange that the patient’s blood sugar level was dramatically high within a short period, without any history of diabetes or a propensity to the disease. Therefore we suspected that the diabetes was caused by an immunological mechanism triggered by the COVID-19 vaccination.
Based on the vaccine-related mechanism of the immune reaction, we treated the patient with glucocorticoid (a steroid) and cyclophosphamide (a leukemia drug) and successfully controlled the diabetes mellitus within a short period.
In general, glucocorticoids are considered a medication that can worsen diabetes and harm pancreas function, ostensibly leading to an increase in blood glucose levels. Given this response, glucocorticoids are rarely used to treat diabetes mellitus.
This little case report is some of the best news to come down the pike in a while. The patient’s doctors ignored the CDC, did not gaslight him, and actually considered whether the vaccines might have caused his illness. In other words, because his doctors were open-minded about the possibility of vaccine injury, and were willing to try treating him as vaccine injured — not as what it looked like on the med school flow chart (“diabetes”) — this patient is now recovering instead of baffling doctors by getting worse and worse.
Bless these doctors who used their skills and training and thought for themselves.
I bet my next paycheck that “covid vaccine injury” is not listed anywhere on Medicare’s reimbursement guidelines. But I bet diabetes is on there; you betcha. We can assume the doctors would have earned more from treating his diabetes than they did from treating his covid vaccine injury. In other words, they were even more courageous and independent than it looks at first.
In an interesting side note, this patient got the Chinese Sinovac vaccine, which is based on inactivated virus and not mRNA. But based on the growing body of academic evidence (well illustrated in the report’s footnotes), the authors explicitly included mRNA vaccines at nearly every opportunity. The other fascinating point was what the report tells us about how harmful spike really is. Since the Sinovac jab only includes “attenuated” or inactive virus, and still can give you sudden diabetes, it must be that even dead spike protein can cause very serious adverse events.
What a perfectly horrible idea to code spike protein into the mRNA vaccines. Oh well, that’s Science! Don’t be a denier!
There’s a lot of hope to be found in this little vaccine-induced diabetes case report. Maybe most hopeful of all is that at least some doctors have stopped gaslighting victims and started looking for solutions. We’re getting there.
Have a wonderful Wednesday! And click on back here tomorrow morning for more delicious Coffee & Covid.
We can’t do it without you. Consider joining with C&C to help move the nation’s needle and change minds. I could use your help getting the truth out and spreading optimism and hope, if you can: ☕ Learn How to Get Involved 🦠
Twitter: jchilders98.
Truth Social: jchilders98.
MeWe: mewe.com/i/coffee_and_covid.
Telegram: t.me/coffeecovidnews
C&C Swag! www.shopcoffeeandcovid.com








So pursue them with Your tempest
And dismay them with Your storm.
Fill their faces with disgrace,
That they may seek Your name, O Yahweh.
Let them be ashamed and dismayed forever,
And let them be humiliated and perish,
That they may know that You alone—Your name is Yahweh—
Are the Most High over all the earth.
— Psalm 83:15-18
"I found yet another goofy Covidian (a healthcare professional) ..." I've stopped calling them 'health care' professionals. They are primarily in the medicine business. Until each practitioner proves themselves to be interested in health, they are snake oil salesmen to me.