☕️ THE HARD WAY ☙ Saturday, January 10, 2026 ☙ C&C NEWS 🦠
Trump hammers credit-card usury; markets jump on a mortgage-bond tweet; tariff & tax refunds teased; affordability EO for homebuyers; PBS cuts news; Greenland threat hardens; & cancer study detonates.
Good morning, C&C, it’s Saturday! And it’s another one of those days where the news is sloshing ashore with the politeness and dignity of a Category Five hurricane. In today’s roundup: President Trump unleashes his latest affordability fusillade, this time at hated credit card companies, and we examine the legality, conservative bona fides, and evidence of a year-long Trumpian plan coming to fruition; usury law; mortgage bond buyback tweet shifts the market, beclowning experts; Treasury teases both tariff refunds and historic tax refunds, and Reuters reluctantly admits the cash is available to pay for it; White House teases affordability order with urgent help for young homebuyers (and the rest of us, too); PBS news pulls the plug on prime weekend news show due to “federal budget cuts”; President Trump drops the hammer and threatens to acquire Greenland “the hard way;” and the cancer study I teased yesterday, the study big pharma has pulled out all the stops to erase, placing a capstone on an era of intentional blindness. Just wait.
🌍 WORLD NEWS AND COMMENTARY 🌍
🔥🔥🔥
Yesterday, lurching in the wake of the latest Trump tweet, CBS charged up its newest Affordability story headlined, “Trump urges credit card companies to slash interest rates to 10% for one year.” Nearly none of the corporate media stories dished the real dirt; granted, we had to do a little dot-connecting. It was simple enough that Big Media should have done it. But of all the big players, CBS —bless its new tone— got the closest.
Yesterday, the President of the United States savaged credit card companies and called for what appears to be a voluntary ten percent (10%) cap on credit card rates starting January 20th— the one-year anniversary of Trump’s second Inauguration. My spider senses are tingling that we should expect some pretty ripe progress leading up to that memorable date. But I digress. Here’s what President Trump actually said. Note the word affordability in all-caps:
Trump is playing the Democrats like a banjo. Trump’s missive appeared mere hours after the Angry Old Socialist of the Senate Bernie Sanders tweeted a routine complaint about the President referring to credit card interest:
It’s going to be darned difficult for Sanders to complain about Trump’s tweet now. Do not be naive. Trump’s social media knee didn’t jerk just because Sanders tweeted something. In other words, this probably isn’t an accidental timeline.
There’s a lot that could be said, but we are moving fast this morning to cover as much ground as possible. There’s a reason I suspect coordination.
Last March, Republican Senator Josh Hawley (R-MO) co-sponsored a one-year credit card cap bill with Bernie Sanders, himself, and over in the House, progressive darling Representative Alexandria Ocasio-Cortez (D-NY) and Republican Representative Anna Paulina Luna (R-FL) co-sponsored a matching version. In other words, the whole bill —effectuating both Sanders’ and Trump’s tweets— is teed up and ready to go. And has been, for almost a year.
Here’s the thing: those bipartisan bills (S.381 and H.R. 1944) were quietly put on ice in committee since they were filed. Not tabled, discharged, or amended into oblivion. Just … held. Until perhaps now.
Senators Sanders and Hawley explicitly framed their bill as fulfilling Trump’s 2024 campaign promise to cap rates at 10% to provide “immediate relief” for Americans facing high debt and costs. Yesterday —without even mentioning the pending bill— Sanders resurrected the issue, and Trump closed the deal.
It’s a political master stroke. The bipartisan bills can now advance in committee, and who can oppose them? Thanks to Democrats, the top issue in the country is affordability, and this bill is explicitly linked to that issue. There will soon come a day when corporate media starts asking why Democrats picked this issue to be their flagship for the mid-term elections. Mark my words.
🔥 Normally, I oppose government price-setting, like with rent caps. Interest is just another price— the price of borrowed money. So, to be consistent, you’d think I should oppose interest rate caps. But interest is a special case.
For most of American history, every state enforced usury laws— hard caps on interest rooted in English common law, Biblical prohibitions, and the ancient Code of Hammurabi. Charging excessive interest wasn’t clever finance; it was a crime with criminal penalties, including prison.
That thousands-year-old law changed in the late 20th century, when the Supreme Court ruled that a national bank could charge customers anywhere in the country the interest rate permitted by the bank’s home state. In 1981, Delaware promptly saw the opening, became the only state to strip away its interest-rate limits, and the credit-card industry stampeded in. Overnight, one small state’s policy nullified the usury laws of 50 states, and ancient protections against predatory interest vanished without a single national vote.
Put simply, credit card companies are exploiting a legal loophole to get away with something that 49 states consider to be criminal conduct, justifying prison sentences, and which common law for thousands of years considered unethical and corrosive.
Not everyone is on board with this ancient logic. Credit card companies protest that if they’re forced to comply with usury laws, people with poor credit will lose access to credit altogether. Others reply: that’s the point. Usury laws exist precisely to protect desperate, vulnerable people from predatory interest rates— not to guarantee banks a revenue stream at any price.
I’d be satisfied with returning to the status quo ante— just put credit cards under the same usury laws that bind everyone else, with no special bankster exceptions or criminal carve-outs.
Short of that, interest rate price caps work fine. Despite my libertarian leanings.
📉 In related news, a single day after I told you that if Trump’s mortgage bond buyback could press rates under 6% then a major psychological barrier would fall —and one day after the experts pooh-poohed Trump’s proposal— guess what happened? This:
Mortgage rates just slipped under 6% for the first time in four years. Without any help from the Fed. With no bonds purchased yet. With no new program rolled out. Just a single Truth Social post from Donald J. Trump— and the market skipped like a new lamb in Springtime.
What can I say? I’ve burned through the usual adjectives—historic, unprecedented, record-shattering— and once again, the experts are left looking like complete asses. Obviously, the markets aren’t listening to experts anymore.
At this rate, Congress may not even need a credit-card-capping bill at all.
📈 Speaking of skippy stories, yesterday Reuters reported that, “Bessent says US Treasury can easily cover any tariff refunds.” He referred to Trump’s plan to send refund checks to lower- and middle-income Americans, using money collected mostly from foreign exporters. If it happens, a tariff refund would pile on top of what could be the largest income tax refunds most Americans have ever seen.
CLIP: Trump teases $10K-$20K in tax savings for ordinary Americans in 2026 (1:53).
Reuters reluctantly conceded that the Treasury is flush, sitting on roughly $774 billion in cash, more than enough to cover all the described refunds. Bessent put it more bluntly. The Treasury Secretary asked —obviously rhetorically— whether companies like Costco, which is now suing to block the tariffs, plan to refund customers themselves?
This is an affordability neutron bomb. How naive are we? Do we think the Treasury built up that massive refund war chest in just another happy accident? Was it merely good timing? Or was it part of the plan from Day One? TAW.
Experts were hardest hit. Tariffs were supposed to make prices skyrocket; instead, they’re paying Americans back with interest, while the experts rummage around the kitchen junk drawer for a new scare story. As I said, Democrats will rue the day that they picked affordability as their keystone issue. Probably sooner rather than later.
Don’t believe me? There’s more.
📈 On Wednesday, Politico ran an unintentionally encouraging story headlined, “Trump team drafting executive order on affordability.” According to people familiar with document, “The White House is drafting an executive order targeted at frustration with the cost of living, including allowing people to dip into their retirement and college savings accounts for down payments on homes.”
Don’t miss this: The Trump Administration’s messaging discipline is airtight. If “people familiar with the document” leaked, it was intentional.
Senator Josh Hawley (R-Mo.) explained the elegant logic in allowing Americans to use their own retirement savings to fund home purchases. “For years, Wall Street has used your 401k money to buy single-family homes,” Hawley tweeted. “We should ban them from doing it - but allow you to use your 401k to help you buy a home, without penalties or caps or taxes.”
Trump just snatched another affordability issue away from Democrats. “Senate Democrats tried to do this last year. Republicans blocked it,” Senate Minority Leader Chuck “Chuckie” Schumer (D-N.Y.) complained, uselessly, confirming only that Democrats once talked about it while Trump is now doing it.
Who knows what else might be in that same executive order?
Reuters is starting to see the looming peril. “Trump’s political stance on these matters,” the news service blandly said, “could scramble Democrats’ messaging heading into the 2026 midterm elections.” That is the whole point. Historians will look back and most of all wonder how Trump tricked the Democrats into choosing affordability as their cornerstone.
Now the whole building is coming down around them. Their injuries are purely self-inflicted.
🚀 🚀 🚀
Meanwhile, Trump’s annexation of Greenland, long mocked by progressives as a joke or meme, is hardening into reality. The New York Times reported, “Trump Threatens to Take Greenland ‘the Hard Way.’” He’s losing patience.
Trump was characteristically blunt. “The fact that they had a boat land there 500 years ago doesn’t mean they own the land,” he said. “I’m sure we had a lot of boats go there too.”
That is muscular language— language weak American presidents largely abandoned after the Cold War, when meek deference to global consensus replaced testosterone-fueled talk about power and geography. Trump made clear that, this time, he isn’t negotiating: “I’m not talking about money for Greenland yet —I might talk about that— but right now, we’re going to do something on Greenland whether they like it or not.”
In what the Times described as an “ominous warning,” President Trump reinforced the point: America is getting Greenland. “I would like to make a deal the easy way,” the President said, showing the velvet glove, “but if we don’t do it the easy way, we’re going to do it the hard way.”
I doubt the clammy reality was lost on the Danes; this is essentially the same choice Trump offered Nicolás Maduro— right before the “hard way” abruptly arrived in a blizzard of late-night inconvenience and last-minute travel.
It’s not a completely crazy idea. The strategic logic is straightforward. Even AOC can understand it. “I’m a fan of Denmark,” Trump insisted, “but if we don’t do it, Russia or China will take over Greenland, and we’re not going to have Russia or China as a neighbor.” Watch the whole clip.
The Department of State just said out loud what has been obvious to us for at least six months now:
Remember, President Trump first raised the idea of acquiring Greenland late in his first term, as “just a really big real-estate deal,” and progressives howled with laughter. He brought it up again in earnest last March, and again liberals sniggered with derision, though perhaps less fulsomely than in 2019. In 2025, they were polishing their “no Kings” narrative, so they framed it more as authoritarian overreach.
Once again, we see a seed planted early in 2025 that is now, one year later, against all odds, flowering into a Redwood of historic inevitability.
📉 📉 📉
On the heels of news of the Corporation for Public Broadcasting closing up shop after the Big Beautiful Bill defunded the left’s favorite propaganda network, PBS News is downsizing. Sad! Yesterday, The Wrap reported the story, a news story about the news, headlined, “PBS News Confirms Weekend Team Will Air Final Broadcast on Sunday.” The subheadline quoted PBS’s explanation: “Due to federal budget cuts, we’ve had to make the difficult decision to rework our staffing and programming.”
Observe the morose faces of PBS anchors announcing that their premier weekend news show is now headed for the circular file:
PBS News Weekend (originally, PBS NewsHour Weekend) started midway through Obama’s second term and was 12 years and 4 months old when it ended this week. We won’t miss it.
It’s a tale of two countries. For the rest of us, the economy is booming. We are optimistic, upbeat, and frankly, we can’t wait to see what’s coming next. It’s kind of like Christmas never ended. But in the land of liberal NGOs and progressive institutions, it’s the End Times. No wonder Democrats poll so poorly in consumer confidence. They are watching their collectivist edifice unravel faster than anyone ever thought possible.
💉💉💉
And now, the study that the establishment is literally working nonstop to block you from learning about. It has been a long time coming, but it has finally arrived. And thanks to courageous coverage from independent media like Jeffrey Tucker’s terrific Brownstone Institute, it is breaking through the veil. Yesterday, the Daily Mail covered the story under the headline, “Shocking study linking covid jabs and cancer ‘censored’ by cyberattack.” The Mail’s article played it straight, explained the study fairly, and never quoted Paul Offit or the bowtied wonder.
We’ve been waiting impatiently for five years now for someone with authority to say the obvious. But it’s done. Check it off the agenda paper. They’ve mapped it out in the careful language of the academy, and the Censorship Creature is on a rampage, doing whatever it can to stop the truth about the jabs from coming out. I’ll go out on a limb, and argue the only reasonable suspect for these ceaseless cyberattacks on an obscure cancer journal —attacks that began right after it published a damning study linking the covid jabs to a wide array of tumors— is Big Pharma.
In other words, I doubt very much it is Romanian scammers. Or for that matter, Democrats, since they are still trying to figure out Instagram.
The hackers have made no demands. They haven’t replaced the home page banner with a penis joke. They’re just trying to block eyeballs and, more importantly, search engine access to the site.
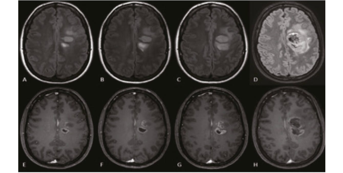
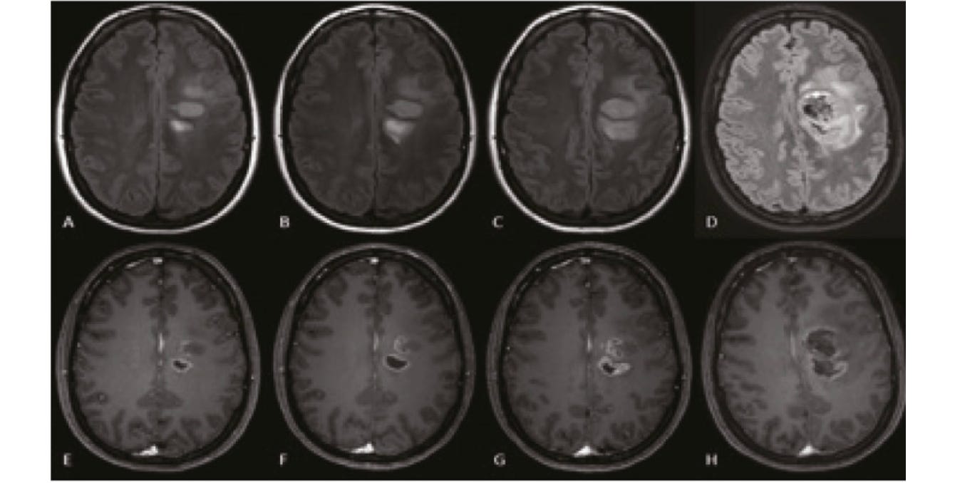
💉 The newly published (January 3rd), peer-reviewed study in Oncotarget does something that was functionally forbidden for four years: it systematically catalogs cancer cases temporally associated with covid vaccination and covid infection, then asks —carefully, explicitly— whether mRNA might plausibly connect the dots.
There are two reasons why Big Pharma woke up and chose digital violence, in addition to deploying the usual defamation army to undermine and isolate the study’s conclusions.
The first reason is that the study’s authors aren’t fringe figures or Twitter gadflies. Dr. Charlotte Kuperwasser is a senior cancer biologist at Tufts University whose work focuses on tumor microenvironments, metastasis, and immune–cancer interactions. Dr. Wafik S. El-Deiry is a longtime oncologist and molecular cancer researcher at Brown University, former president of the American Association for Cancer Research, and a leading authority on p53 signaling and cancer therapeutics.
In other words, these are scientists whose day jobs are spotting early cancer signals— not making them up for clicks. And they know the game. The paper took a year to traverse peer review and be published— including 5 months of silence following acceptance.
The second, and perhaps bigger reason, is that the two researchers didn’t conduct a new experiment that could be sliced and diced by Big Pharma’s stable of pet critics. Instead, they reviewed 69 other peer-reviewed publications from 27 different countries, covering 333 patients, plus several large population-level datasets, and proved recurring patterns that simply cannot be waved away:
unusually rapid cancer progression,
reactivation of previously controlled disease,
odd tumor clusters near injection sites or draining lymph nodes, and
a striking overrepresentation of lymphomas, leukemias, aggressive solid tumors, and virus-associated cancers.
In other words, to criticize this peer-reviewed paper, Big Pharma’s slander team would have to criticize the 69 previous peer-reviewed papers, too. A project like that would look a lot like outright persecution and not Science™. Hence, the DDOS attacks and ad-hominem assaults.
💉 The two scientists were very careful in their paper. They meticulously and repeatedly admitted what they did not seek to prove. They offered no risk estimates, they made no direct causal claims. But they were equally clear about what their results did show: this is no longer anecdote, rumor, or Twitter lore.
Beyond that, they included what might be the best explanation I’ve yet seen of the long-term risks posed by the mRNA vaccines —really, any of the mRNA vaccines— for a wide variety of potential downstream injuries:
In addition, the COVID mRNA vaccines work by instructing the target cells to produce the SARS-CoV-2 spike protein. This occurs by introducing a synthetic, modified mRNA (mod-mRNA) which incorporates non-natural pseudouridine into its coding region to prolong the stability of the mRNA beyond that of natural mRNA.
Introduction of the mod-RNA is accomplished using lipid-based transfection in the form of lipid nanoparticles (LNPs). The result is highly efficient transfection of the mod-mRNA into target cells with biochemical and pharmacological behavior different from naturally occurring mRNA. Consequently, the mod-RNA is transcribed into the foreign spike protein (as well as other frameshifted protein products), which elicits a robust immune response.
Given the stability of pseudouridine modified mRNA, along with the residual
DNA in the mRNA vaccine formulations, the mRNA vaccines are delivering exogenous genetic material (DNA and RNA (in the form of engineered nucleic acids)) into a patient’s cells. The COVID19 mRNA vaccines produce Spike protein that is encoded by a stable mRNA and has been found to be long-lived in the human body. These nucleic acid elements have been reported to contribute to Post-Covid Vaccine Syndrome (PCVS/PVS).
Thus, these vaccines fit the definition of gene therapy.
Even as they were cautious about identifying a biological mechanism of injury or making direct claims about causality, they painstakingly catalogued a Devil’s inventory of case reports (and a few small series studies) of cancers linked to jabs— including lymphomas, leukemia, sarcoma, carcinoma (pancreatic, prostate, lung, colon, breast, etc.), melanoma (eye and skin cancer), glioblastoma (brain cancer), and the catchall, other.
It’s nothing less than early safety-signal literature, the same kind that oncology has treated seriously for decades. It conjures the field’s response to the excesses of the early days of the tobacco research, when heterodox researchers who claimed a link between smoking and lung cancer were pilloried and ignored— just like the two doctors who published this study.
It is devilishly hard to pick, but possibly the most unsettling part wasn’t the hypotheses about immune dysregulation, spike protein persistence, or DNA contaminants— it was the authors’ blunt admission that covid vaccines were never evaluated for carcinogenicity, genotoxicity, or multi-dose long-term effects at all.
In other words, you’ll find out what’s in the shots once they’ve been in your body for a few years. The researchers conclusion was simple and stark: “The collective world-wide evidence from 2020–2025 underscores a biologically plausible connection between COVID-19 vaccination and cancer.”
This paper posed the implied question of why no one was allowed to ask about cancer risk in the first place.
💉 The reason this study is so dangerous is that it summarizes and recapitulates a large body of existing literature, which until now has been kept broken in piecemeal and scattered to the winds. This study isn’t new; it’s an inflection point. This study brings together into one place all the existing theories, the proven problems with the jabs, and evidences all of it with direct citations to 69 other peer-reviewed publications.
Here’s a local link to the study from my Dropbox, since, because of the ongoing DDOS attacks, it remains nearly impossible to access online. You might want to archive a local copy. Just saying.
This study offers many reasons to be optimistic, despite the dark subject matter. First, the DDOS attacks may have backfired, by drawing more attention to the study than otherwise. Next, astonishingly, the Daily Mail ran the story straight, without the obligatory template text about how many millions of lives the shots saved and blah-blah-blah. The study is largely immune to criticism, because it is grounded in prior peer-reviewed work. And Pharma is increasingly wounded (albeit still dangerous) and stands on shifting sands.
We approach a tipping point. When we get there, I say we should nuke Big Vaccines from orbit and start over. It’s the only way to be sure. What about you?
Have a wonderful weekend! We’ll return Monday with even more C&C-style essential news and commentary, and since the Trump Administration doesn’t take weekends off like President Bernie used to do, we should have plenty to discuss.
Don’t race off! We cannot do it alone. Consider joining up with C&C to help move the nation’s needle and change minds. I could sure use your help getting the truth out and spreading optimism and hope, if you can: ☕ Learn How to Get Involved 🦠
How to Donate to Coffee & Covid
Twitter: jchilders98.
Truth Social: jchilders98.
MeWe: mewe.com/i/coffee_and_covid.
Telegram: t.me/coffeecovidnews
C&C Swag! www.shopcoffeeandcovid.com



















- Short answer for all the kids out there: The Establishment preys on human weakness. Don't carry a balance over to the next cycle. Reign in your spending. Pay it all off every month. Trust me...you don't need the latest iPhone just because it can check your tire pressure in 3D and whip up a mint frappe. Aside from that, the last thing you need is the mind numbing impact of a more immersive propaganda experience.
- "Turbo Cancer" entered the fray even faster than SIDS. I'm sure it's a coincidence. It's a "small price to pay" as we find these things out together....well, not all of us. I think I'll just take a pass and find out later...."winter of severe illness and death" be damned. I'm on my 5th....or is it 6th?
✝️✝️✝️
Lift up your heads, O gates,
And be lifted up, O ancient doors,
That the King of glory may come in!
Who is this King of glory?
Yahweh strong and mighty,
Yahweh mighty in battle.
— Psalm 24:7-8 LSB
✝️✝️✝️